23.8 C
Port Sudan
الأربعاء, أبريل 1, 2026

واحد من كل ستة جرحى من الأطفال.. تقرير جديد لاطباء بلا حدود.. 4,214إصابة بالقنابل والاعيرة النارية


رصاصة طائشة تسكن صدر الطفل رياض صاحب ١٨ شهرا من العمر
الخرطوم :توتيل نيوز
قالت منظمة اطباء بلا حدود إن نحو واحد من كل ستة جرحى حرب عولجوا في مستشفى بشائر التعليمي جنوب الخرطوم، منذ يناير 2024 تقل أعمارهم عن 15 عامًا.
وقد أصيبَ الكثير منهم بجروح ناجمة عن أعيرة نارية أو انفجارات أو شظايا. كما يشعر الأطباء بالقلق إزاء ارتفاع عدد الأطفال الذين يأتون إلى المستشفى وهم يعانون من سوء تغذية حاد.
و عالجت فرق أطباء بلا حدود التي تعمل جنبًا إلى جنب مع طاقم المستشفى أكثر من 4,214 إصابة ناجمة عن العنف، بما في ذلك الأعيرة النارية وانفجارات القنابل.
و شكّلت نسبة الأطفال دون سن الخامسة عشرة 16 %. ويوفّر هذا المستشفى الرعاية الطارئة والرعاية الجراحية بالإضافة إلى خدمات الرعاية الصحية للأمهات، علمًا أنّه أحد آخر المستشفيات العاملة في جنوب الخرطوم.
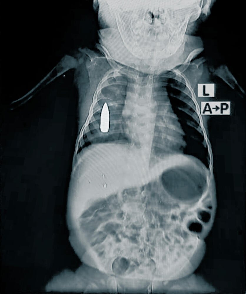
وفي هذا الصدد، يقول رئيس الفريق الطبي في أطباء بلا حدود، الدكتور معين : “أُحضر الطفل رياض البالغ من العمر 18 شهرًا إلى قسم الطوارئ بعد أن أصابت رصاصة طائشة جنبه الأيمن حين كان نائمًا في بيت أهله. وكافح الفريق الطبي لمدة أربع ساعات لتحقيق استقرار حالته. وبسبب فقدانه الكثير من الدم، كان احتمال نجاته من الجراحة نحو 50 %”.
وقال إن تمكن الفريق من وقف النزيف ولكن بقيت الرصاصة في صدره. ومن غير الواضح بعدُ متى سيمكن فعل أي شيء حيال ذلك. يُشار إلى أنّ المستشفى لا يمتلك قدرات جراحية متقدمة، ويرجع ذلك جزئيًا إلى الحظر المطَّرد على إرسال الإمدادات الجراحية منذ أكتوبر 2023. كما أن إحالة المرضى إلى خارج المنطقة أمر صعب للغاية لأن طرق النقل إما مدمرة أو شديدة الخطورة. ورياض هو واحد فقط من بين 314 طفلاً عولجوا من جروح ناجمة عن طلقات نارية وانفجارات في عام 2024.
رياض هو طفل يبلغ من العمر 18 شهرًا كان قد أُصيب برصاصة طائشة في صدره أثناء قيلولته في الخرطوم. نُقل رياض إلى غرفة الطوارئ في مستشفى بشائر التعليمي الذي تدعمه منظمة أطباء بلا حدود من قبل مقدمي الرعاية. بدأ فريق جراحة الطوارئ التابع لمنظمة أطباء بلا حدود في إجراء عملية جراحية لإنقاذ حياة رياض وتمكن الجراحين من إنقاذ حياته لكن الرصاصة بقيت في صدره. السودان، في نوفمبر 2024.
كما أن العوائق المتعمدة على نقل المستلزمات الطبية والأدوية تعني عدم التمكن من القيام ببعض الإجراءات الطبية على غرار علاج إصابات الحروق الشديدة. وهذا أمر مثير للقلق حيث لا يوجد مركز حروق يعمل بشكل كامل في المدينة، علمًا أنّ المدنيين يقعون ضحايا بشكل متزايد لانفجارات القنابل.

في أواخر أكتوبر الماضي، أُحضر أكثر من 30 جريح حرب إلى مستشفى بشائر في يوم واحد بعد انفجار في سوق على بعد أقل من كيلومتر. وكان اثنا عشر من أولئك الذين تم إحضارهم إلى قسم الطوارئ أطفالاً دون سن الخامسة عشرة. وقد عانى الكثيرون من حروق وإصابات بالغة. وقد أُحضرت طفلة تبلغ من العمر 20 شهرًا أصيبت بشظايا عميقة في رأسها، وبينما كان الفريق يضعها برفق على طاولة الأشعة السينية، سقط جزء من عظم جمجمة الطفلة الهش على الطاولة. وفي هذا السياق، يقول الدكتور معين، “تعدّ مثل هذه الحالات أمورًا شائعة. ولحسن الحظ أن الطفلة نجت، لكن هناك آخرون ليسوا محظوظين بهذا القدر”.
ويوضح الدكتور معين أنّ حالات الإصابات الجماعية مثل هذه (حيث يصل عدد كبير من المرضى ضمن مدة زمنية قصيرة) أصبحت أكثر تكرارًا مع اشتداد القتال في المدينة. وتتعرض المستشفيات القليلة التي لا تزال تعمل لضغوط هائلة ويكافح الطاقم الطبي للتعامل مع جميع الاحتياجات.
وفي الوقت نفسه، بدأ المستشفى يشهد زيادة في عدد الأطفال والنساء الحوامل الذين يصلون إلى المستشفى ويعانون من سوء التغذية الحاد. ويمكن لسوء التغذية الحاد أن يهدد الحياة إذا لم يُعالج. ومن بين 4,186 امرأة وطفلاً تم فحصهم حيال سوء التغذية بين 19 أكتوبر/ و8 نوفمبر/ 2024، كان أكثر من 1,500 منهم يعانون من سوء التغذية الحاد الشديد و400 يعانون من سوء التغذية المعتدل.

وفي هذا الصدد، تقول منسقة الطوارئ في أطباء بلا حدود، كلير سان فيليبو، “تُظهر أرقام العنف وسوء التغذية هذه الكابوس الذي يعيشه الناس، ومن بينهم الأطفال، في الخرطوم. ويجب على أطراف النزاع ضمان حماية المدنيين، كما يجب السماح بوصول الإمدادات الطبية إلى جميع المستشفيات في السودان”.

أخبار اليوم
اخبار تهمك أيضا